You might have noticed among your friends or someone you know, a gap in their teeth when they smile. Have you ever wondered why it is present ?
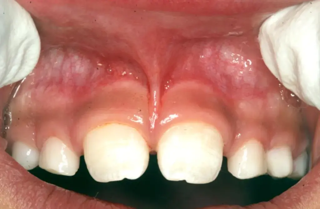
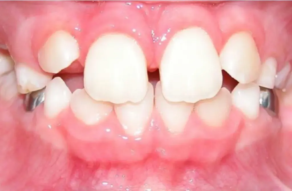
We’ll talk about why it occurs and what we can do to treat it. So, the gap which is present in between the front teeth is called as midline diastema. It is found in both kids and adults. This gap is normal during the early development stage of children. It corrects itself during the age of 8-9 years. As the adjacent permanent teeth starts to erupt, the gap closes itself. The gap may only be a cosmetic problem for some but it can occasionally it can be indication for serious gum problems.
The spacing can occur due to various reasons.

Some can be due to
- Genetics
- Bad oral habits like thumb sucking, mouth breathing, tongue thrusting etc
- Abnormal frenal attachment (band of muscle fibers that you can see attaching the gums to the lip tissue)
- Tooth size, shape discrepancy
- Missing teeth
- Gum disease
- Tooth Eruption

The presence of the gap is not a cause of concern most of the time. It is only a cosmetic concern. The gap doesn’t cause any oral problems unless it’s occurrence is due to gum disease. The gum disease causes weakening of the tooth from the bone surrounding which causes the tooth to move causing the space in between the teeth.
Treatment for the gap closure depends on the root cause of it
- Orthodontics (Tooth Alignment)
- Veneering – Direct or Indirect
- Crowns
- Frenectomy
- Habit correction
- Periodontal therapy
If you want to close the gap, visit us at our dental clinic in Mogappair for a consultation. We are here to help you get a beautiful and confident smile.



